Before and After
Forehead Lines/Wrinkles

Before

After
Eleven Lines/Forehead Lines

Before

After
Eleven Lines

Before

After
Eleven Lines

Before

After
Nasolabial Folds & Marionette Lines

Before

After
Lip Flip

Before

After
Lip Flip

Before

After
Lip Flip

Before

After
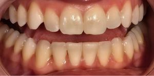
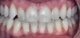
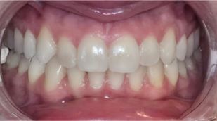
Teeth Whitening

Before

After
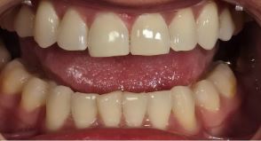
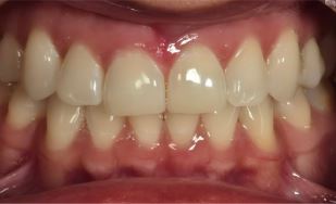
Teeth Whitening

Before

After
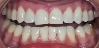
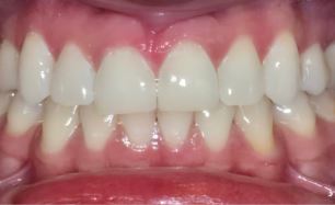
Teeth Whitening

Before

After
Teeth Whitening

Before

